Stony Brook, NY, December 10, 2018 - In the last 16 years, a mysterious disease has devastated the New York hard clam fishery. Scientists call it QPX disease, which stands for “quahog parasite unknown,” referring to the organism that causes the disease. The illness, first reported in New York in 2002, has wrought significant losses in Northeast fisheries since the 1990s.
“QPX can be fatal to clams, wiping out whole populations under some circumstances, and therefore can cause significant economic losses,” said Bassem Allam, endowed professor of marine science at Stony Brook University, who has studied the disease extensively and has published new research on the topic. “In New York in 2002, the hard clam transplant fishery was closed for several years because of QPX, causing up to $15 million a year in direct economic losses.”
Since the first reported outbreak of QPX disease that year in New York waters, a team of researchers has been working to better understand QPX biology and ecology, as well as details about its presence, abundance, and distribution.

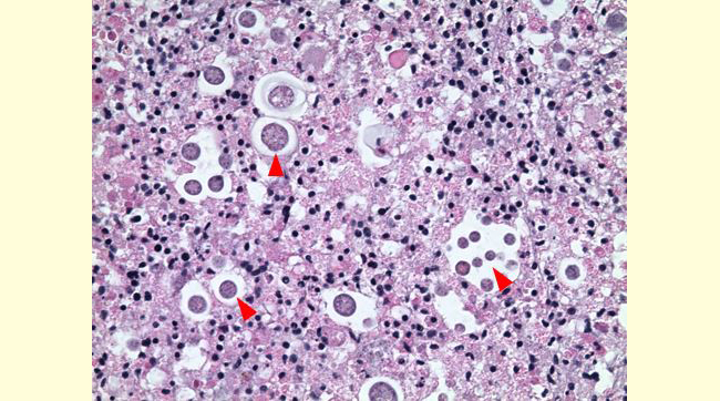
Histological section showing QPX cells (red arrowheads) in clam tissues under the microscope. Credit: Bassem Allam.
Making waves
Allam’s new research, funded by New York Sea Grant, indicates that the QPX organism may be widespread in the environment. This suggests that it is not dependent on hard clams to complete its life cycle. In addition, researchers developed a new test for QPX, and are investigating the relationship between the QPX organism, hard clams, and QPX disease.
Signs of QPX disease include decreased new shell growth, swollen and discolored mantles, and chipping shell edges. The QPX parasite is found most frequently in the mantle and gills of clams. Clams usually show an intense inflammatory response to the parasite. QPX does not harm humans.
Testing the presence and abundance of QPX cells could help scientists understand the pathways of its spread and ultimately control the disease.

QPX cells grown in an artificial culture media in the lab. Credit: Bassem Allam.
Mechanism unknown
In their recent investigation, the researchers took water and sediment samples in New York – across Raritan Bay and Long Island – and at a coastal site in Massachusetts. They determined that samples were positive for QPX anywhere from 21% to 85% of the time.
Ultimately, the analyses revealed the widespread and consistent presence of low numbers of QPX in sediments and seawater throughout the marine districts in New York and Massachusetts. These results, however, did not indicate to what extent and how the QPX organism was causing the disease.
“There is some level of adaptation of QPX—the microbe, not the disease—to local environments where it lives,” said Allam. “This allows the parasite to be successful in colonizing various environments.”
Highly adaptive
Two further studies by Allam and colleagues aim to understand why QPX adapts so well, and how we might develop QPX-resistant clams.
In the first study funded by NYSG and detailed in the June 2018 science journal BMC Genomics1, investigators found that the QPX organism might be able to adapt very well to varying environmental conditions, allowing it to survive under stressful conditions.
In the second study, funded by the USDA, researchers compared the performance of genetically-distinct clam stocks for QPX disease resistance. They deployed different strains of clam stocks in New York and Massachusetts. Differences between strains were noted, and they identified genetic features associated with disease resistance and that could serve to develop resistant clam strains. They are now testing how well these genetic markers serve as predictors for disease resistance.
Furthermore, whatever leads QPX to initiate the disease appears unrelated to the prevalence of the organism in the environment. Researchers now know that some other factors are at work, including the genetic background of clams2 and prevailing environmental factors3,4,5. The race, for now, is to develop new strategies to reduce the harmful effects of the disease in clams.
“The new mitigation strategies we are developing will help the aquaculture industry face this challenge,” said Allam. “This could be through the development of best management practices, but also through the development of resistant clam strains. Our preliminary research along these lines is very promising,” he noted.

Hard clams are a hardy species that support a robust fishery and aquaculture activities (currently the most economically valuable fishery in New York State). Development of this fishery in the Northeast is hampered by QPX – a pathogen that is harmless to humans and detrimental to hard clam populations. Illustration: Jan Porinchak.

In 2009, NYSG released "Factors Controlling Mercenaria mercenaria Populations in South Shore Bays of Long Island, NY," a 44-page synthesis report and 7-page executive summary on hard clams. Credits: Top row: Left, Right: Cornell Cooperative Extension of Suffolk County; Center: Preston O. Petre courtesy of Journal of Shellfish Research; Bottom row: photo of fourth generation Great South Bay clammer Rob Hoek by J. Dlhpolsky; photo of clam larvae, S. MacQuarrie.
References
1 Bassem S, Allam B. (2018). SNP hot-spots in the clam parasite QPX. BMC Genomics 19: 486.
2 Dahl S, Thiel J, Allam B. (2008). QPX disease progress in cultured and wild type hard clams in New York waters. Journal of Shellfish Research 29(1): 83-90.
3 Perrigault M., Dahl S.F., Pales-Espinosa E., Allam B. (2012). Effects of salinity on hard clam (Mercenaria mercenaria) defense parameters and QPX disease dynamics. Journal of Invertebrate Pathology 110(1): 73-82.
4 Dahl S, Perrigault M, Liu Q, Collier JL, Barnes DA, Allam B. (2010). Effects of temperature on hard clam (Mercenaria mercenaria) immunity and QPX (Quahog parasite unknown) disease development: I. Dynamics of QPX disease. Journal of Invertebrate Pathology 106: 314-321.
5 Perrigault M., Dahl S.F., Pales Espinosa E., Gambino L., Allam B. (2010). Effects of temperature on hard clam (Mercenaria mercenaria) immunity and QPX (Quahog parasite unknown) disease development: II. Defense parameters. Journal of Invertebrate Pathology 106: 322-332.
More Info: New York Sea Grant
New York Sea Grant (NYSG), a cooperative program of Cornell University
and the State University of New York (SUNY), is one of 33 university-based
programs under the National Oceanic and Atmospheric Administration’s
National Sea Grant College Program.
Since 1971, NYSG has represented a statewide network of integrated
research, education and extension services promoting coastal community
economic vitality, environmental sustainability and citizen awareness
and understanding about the State’s marine and Great Lakes resources.
Through NYSG’s efforts, the combined talents of university scientists
and extension specialists help develop and transfer science-based
information to many coastal user groups—businesses and industries,
federal, state and local government decision-makers and agency managers,
educators, the media and the interested public.
The program maintains Great Lakes offices at Cornell University, SUNY
Buffalo, SUNY Oswego and the Wayne County Cooperative Extension office
in Newark. In the State's marine waters, NYSG has offices at Stony Brook
University in Long Island, Brooklyn College and Cornell Cooperative
Extension in NYC and Kingston in the Hudson Valley.
For updates on Sea Grant activities: www.nyseagrant.org has RSS, Facebook, Twitter, and YouTube links. NYSG offers a free e-list sign up via www.nyseagrant.org/nycoastlines for its flagship publication, NY Coastlines/Currents, which is published quarterly. Our program also produces an occasional e-newsletter,"NOAA Sea Grant's Social Media Review," via its blog, www.nyseagrant.org/blog.